
FigSpec?系列顯微高光譜成像系統
				光譜范圍:400-1000nm
光譜波段:300
圖像分辨率:1920*1920
整機重量:小于4.5kg
		光譜波段:300
圖像分辨率:1920*1920
整機重量:小于4.5kg
產品介紹
將顯微鏡及成像光譜儀兩者的優點結合,可以隨時對顯微圖像進行高光譜數據采集。
可以對現有的生物顯微鏡、熒光顯微鏡、體視顯微鏡、金相顯微鏡等進行改造,方便地把普通顯微鏡改造為高光譜顯微鏡。
客戶可以根據需求定制顯微鏡型號。
FigSpEC?系列成像光譜儀在內部集成了視覺相機和高光譜相機,可以使用視覺相機快速預覽采樣圖像,確定圖像符合要求后再進行高光譜圖像數據采集。
光譜范圍:400-1000nm
光譜波段:300
圖像分辨率:1920*1920
整機重量:小于4.5kg
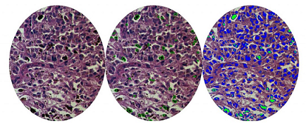
實例1:胃癌組織高光譜檢測圖譜聯合胃癌診斷方法研究  | ![]()  | 
![]()  | 實例2:基于高光譜技術的病理切片虛擬染色 | 
實例3:基于顯微高光譜成像的皮膚黑色素瘤識別黑色素瘤顯微高光譜圖像與標記  | ![]()  | 
![]()  | 實例4:大熊貓毛發光譜判斷熊貓年齡和健康狀況大熊貓毛發顯微圖像和光譜(400-1000nm)  | 
技術參數
型號  | FS-20 | FS-22 | FS-23  | FS-25  | 
分光方式  | 透射光柵分光 | 透射光柵分光 | 透射光柵分光  | 透射光柵分光 | 
圖像分辨率  | 1920*1920 | 1920*1920 | 1920*1920  | 320*320 | 
動態范圍  | 12 bits | 12 bits | 12 bits  | 14 bits | 
成像速度  | ≤15秒 | ≤15秒 | ≤5秒  | ≤5秒 | 
光譜通道數  | 600 | 1200 | 1200  | 254 | 
光譜范圍  | 400-700nm | 400-1000nm | 400-1000nm  | 900-1700nm | 
光譜分辨率  | 2.5nm | 2.5nm | 2.5nm  | 8nm | 
狹縫寬度  | 25um | 25um | 25um  | 25um | 
透射效率  | 60% | 60% | 60% | 60%  | 
雜散光水平  | 0.5% | 0.5% | 0.5%  | 0.5% | 
像素大小  | 5.86um*5.86um | 5.86um*5.86um | 5.86um*5.86um | 30um*30um  | 
探測器類型  | CMOS | CMOS | CMOS  | InGaAs  | 
傳感器成像面尺寸  | 11.3*7.1mm | 11.3*7.1mm | 11.3*7.1mm  | 9.6mm x 7.68mm  | 
標配鏡頭焦距  | 25mm | 25mm | 25mm  | 25mm  | 
最小工作距離  | 100mm | 100mm | 100mm  | 100mm | 
視場角  | 25° | 25° | 25° | 17° | 
最小曝光時間  | 34us | 34us | 21us  | 1us | 
最大曝光時間  | 10秒 | 10秒 | 10秒  | 1秒  | 
信噪比  | 600/1 | 600/1 | 600/1 | 600/1 | 
數據接口  | USB3.0 | USB3.0 | USB3.0  | 千兆網 | 
| 相機鏡頭接口 | C | C | C | C | 
| 配件 | USB3.0傳輸線 | USB3.0傳輸線 | USB3.0傳輸線 | 千兆網傳輸線 | 
| 成像功能 | 有ROI功能 可以實現單個區域ROI  | 有ROI功能 可以實現單個區域ROI  | 有ROI功能 可以實現單個區域ROI  | 有ROI功能 可以實現單個區域ROI  | 
| 輔助成像功能 | 輔助取景攝像頭實現 對拍攝區域的監控  | 輔助取景攝像頭實現 對拍攝區域的監控  | 輔助取景攝像頭實現 對拍攝區域的監控  | 輔助取景攝像頭實現 對拍攝區域的監控  | 
| 供電方式 | 內置電池供電 | 內置電池供電 | 內置電池供電 | 內置電池供電 | 
| 主機尺寸* | 255mm*138mm*107mm | 255mm*138mm*107mm | 255mm*138mm*107mm | 335mm*182mm*143mm | 
| 重量** | 小于2.8kg | 小于2.8kg | 小于2.8kg | 小于5.3kg | 
*尺寸不含鏡頭和提手 **重量不含鏡頭
系統組成
高光譜成像光譜相機(可選擇FS-20/FS-22/FS-23)*1、鏡頭*1、顯微鏡(可指定任意廠家型號)*1、PC應用軟件*1






